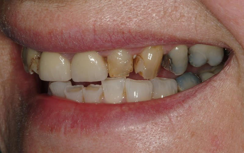
Full Mouth Rehabilitation - Case 2
This patient had been having constant patchwork dentistry and crisis management dentistry throughout her life.
A complete rehabilitation of her upper teeth was carried out and now she shouldn’t need any more dentistry on these teeth for a long long time !








