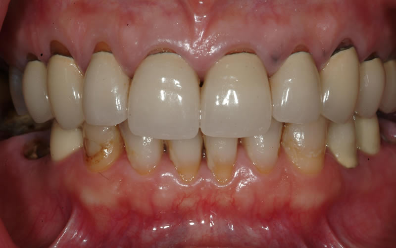
Full Mouth Rehabilitation - Case 1
This draws on all the skills and expertise of the Prosthodontist. Multidisciplinary treatment is used to restore a broken down mouth to pristine condition. The aim is to reduce the need for future dentistry, improve the lifespan of the teeth and rejuvenate the smile.












